An orthopaedic consultant works with the medical and physiotherapy team to monitor and advise you in your ongoing skeletal growth.
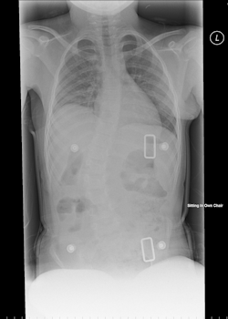
Spinal cord injury can affect how your bones grow after injury.
Our aim is to enable your body to grow as it would have done prior to injury.
You may be sent to have x-rays of your spine and pelvis as well
This, as well as examination, will help the orthopaedic team provide the best advice to manage you as you grow, in order to prevent secondary deformity.
We use cookies to ensure that we give you the best experience on our website. If you continue to use this site we will assume that you are happy with it.OkNoPrivacy policy